2019/10/25
体脂肪を落としたい!

お腹が最近ぷよぷよしてきて
太ってしまった💦
ジーンズが履けなくなってしまった💦
ダイエットをしないと!
そう思われた事はあるかと思います。
(ない人はこのブログに辿りつかないハズ)
そこで大抵の人は
体重を落とさないと!
と考えるのですが
体重ではなくて体脂肪を落とすが正解です。
では体脂肪って一体なんなんでしょう?
「
」
孫子の格言である
「彼を知り己を知れば百戦して殆うからず」
にもある様に
まずは、体脂肪を知る事からはじめてみましょう!

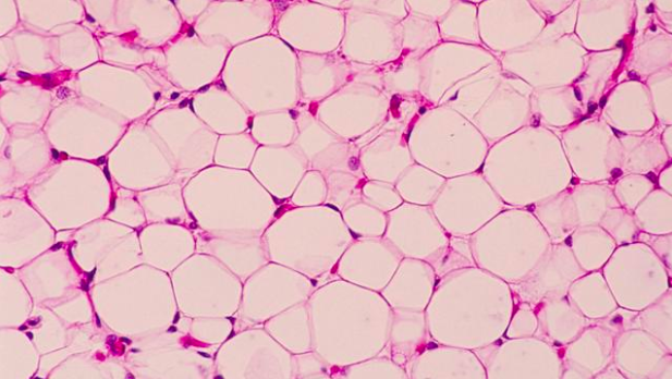
まずはコチラ!
コレが体脂肪!ではなくて
脂肪細胞です♪
体脂肪と言うのは、脂肪細胞の中に蓄えられている
脂肪の事です。
私たちは、使わなかった余ったエネルギーを脂肪として
体内に蓄えて置く事が出来るのです。
コレを皆さんの馴染みのある事に例えるなら

銀行です♪
皆さんは今すぐ使わないお金や
お金が余ったら(羨ましい)どうされますか?
銀行へ預けますよね。(郵便局ですとか言わないでね)
そして必要になったら
銀行からお金を降ろして使いますね。
脂肪をお金に例えたのには訳がありまして
今後、体脂肪を落とそうと考える時に
脂肪をお金だと考えると
理解がし易いのです。
つまり「体脂肪を落とす」と言う事は
身体の中にある脂肪細胞の中に蓄えられた
エネルギーを使うと言う事です。

お金で例えるなら
銀行になんて預けるのは辞めて
片っ端から散財して行く事ですね(やってみたい)
って事は
ダイエットを成功させる為には
お金を使わざる得ない状況下に身を置けば良いって事になります。
なんだか楽しそうで簡単そうに感じませんか?
今日はここまで♪
